หน้าแรก
สินค้าทั้งหมด
วิธีการสั่งซื้อสินค้า
แจ้งชำระเงิน
ติดต่อเรา
บทความ
เกี่ยวกับเรา
หน้าแรก
>
บทความ
>
ผลเสียของการเกิด "โรคฟันผ…
ผลเสียของการเกิด "โรคฟันผุ"
3 ปีที่ผ่านมา
โดย
เจ้าของร้าน
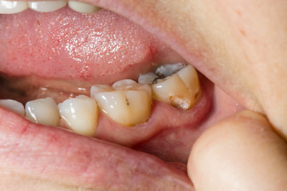
โรคฟันผุระยะเริ่มต้น จะยังไม่มีอาการอะไร ไม่มีทั้งอาการเสียวหรือเจ็บ จะมีแค่การเปลี่ยนแปลงที่ผิวฟัน เราจะเห็นมันเป็นจุด ๆ หรือฝ้าขาวขุ่นคล้ายชอล์ก ซึ่งถ้าเห็นหรือตรวจเจอแต่เนิ่น ๆ จะสามารถรักษาไม่ให้เกิดเป็นรูผุได้ แต่ถ้าไม่รักษา จะเกิดการทำลายของเนื้อฟัน ดังนี้
ระยะที่ 1 :
เริ่มเห็นเป็นรูผุที่ผิวฟัน อาจมีสีเทาหรือดำ มีสีขาวขุ่นรอบ ๆ
ระยะที่ 2 :
รูฟันผุลุกลามกว้างและลึกขึ้นเข้าสู่ชั้นเนื้อฟัน ใกล้โพรงประสาทเกิดอาการเสียวฟัน โดยเฉพาะเมื่อกินอาหารหวานหรือน้ำเย็น
ระยะที่ 3 :
รูฟันที่ผุลุกลามลึกลงไป ถึงโพรงประสาทฟัน ซึ่งเป็นที่อยู่ของประสาทรับความ รู้สึก ทำให้ปวด เคี้ยวไม่ได้
ระยะที่ 4 :
การอักเสบลุกลามออกไป รอบตัวฟัน ถึงอวัยวะรอบตัวฟัน อาจเกิดฝี หนอง ฟันโยก ปวด เคี้ยวไม่ได้
ฟันผุ
Share
Share :
COPY
สินค้าขายดี
ดูสินค้าแนะนำทั้งหมด
บริษัท ปาล์มเมด อินดัสตรี้ (ประเทศไทย) จำกัด
Palmmade Industry (Thailand) Co., Ltd.
Copyright © 2025
www.palmmade.com
All rights reserved.
ตะกร้า
(
0
)
▲
▼
รายการสั่งซื้อของฉัน
เข้าสู่ระบบด้วย
เข้าสู่ระบบ
สมัครสมาชิก
ยังไม่มีบัญชีเทพ
สร้างบัญชีใหม่
ไม่มีค่าใช้จ่าย
สมัครสมาชิก (ฟรี)
รายการสั่งซื้อของฉัน
ข้อมูลร้านค้านี้
Palmmade
“ปาล์มเมด” สินค้าคุณภาพ เหมาะกับทุกวันแบบที่เป็นคุณ Palmmade Quality products for your everyday. 棕榈制造 – 适合日常的高品质产品 ผู้นำเข้าและจัดจำหน่ายสินค้าอุปโภคบริโภค แปรงสีฟัน ยาสีฟัน มาส์กหน้า ชู้ทติ้งเจล ทิชชู่เปียก สบู่ หลอดฟางข้าว เป็นต้น สินค้าที่ได้รับการตอบรับเป็นอย่างดีคือกลุ่มของแปรงสีฟันและมาส์กหน้า แบรนด์ปาล์มเมดของเราถูกออกแบบให้มีการใช้วัสดุที่เป็นมิตรกับสิ่งแวดล้อม ลดการใช้พลาสติก และมุ่งเน้นการใช้วัตถุดิบจากธรรมชาติ เพื่อให้ผู้บริโภคสามารถใช้สินค้าที่ดีต่อทั้งสุขภาพและโลกของเรา เราให้ความสำคัญกับการรักษาสิ่งแวดล้อมอย่างยั่งยืน เราหวังว่าความพยายามของเราจะช่วยทำให้โลกนี้สวยงามและน่าอยู่ยิ่งขึ้น โดยการลดการใช้พลาสติกในทุกขั้นตอนของกระบวนการผลิต ตั้งแต่การเลือกใช้วัตถุดิบไปจนถึงกระบวนการบรรจุภัณฑ์และการจัดส่งถึงมือลูกค้า ด้วยความเชื่อที่ว่า "โลกจะสวยด้วยมือเรา" เราจึงมุ่งมั่นในการนำเสนอผลิตภัณฑ์ที่ไม่เพียงแต่คุณภาพดี แต่ยังเป็นมิตรกับสิ่งแวดล้อม ขอให้ทุกคนร่วมเป็นส่วนหนึ่งในการดูแลรักษาโลกใบนี้ ด้วยการเลือกใช้สินค้าที่เป็นมิตรกับสิ่งแวดล้อม **โลกจะสวยด้วยมือเรา - ปาล์มเมด** รับสมัครตัวแทนจำหน่ายทั้งปลีก-ส่ง เวลาทำการ จันทร์-เสาร์ 08.30 น. – 18.00 น. ปาล์มเมด รับประกันสินค้าไม่ตรงใจ ด้อยคุณภาพ ไม่สมราคา ทำให้ไม่มั่นใจ คืนเงินได้ภายใน 30 วัน
เบอร์โทร :
0650565495
อีเมล :
manager@palmmade.com
ส่งข้อความติดต่อร้าน
เกี่ยวกับร้านค้านี้
ค้นหาสินค้าในร้านนี้
ค้นหา
หรือค้นหาอย่างละเอียด
ค้นหาสินค้า
สินค้าที่ดูล่าสุด
{{pdata.name}}
ดูสินค้าทั้งหมดในร้าน
สินค้าที่ดูล่าสุด
บันทึกเป็นร้านโปรด
Join เป็นสมาชิกร้าน
แชร์หน้านี้
แชร์หน้านี้
↑
TOP
เลื่อนขึ้นบนสุด
SEARCH
ค้นหา
ค้นหาโดยละเอียด
ดูทั้งหมด
CATEGORY
สินค้าทั้งหมด
[31]
สินค้ามาใหม่
[1]
สินค้าแนะนำ
[25]
ผลิตภัณฑ์ดูแลผิว
[9]
แผ่นมาส์กหน้า
[8]
แผ่นมาส์กตา
[0]
ชู้ทติ้งเจล
[1]
ผลิตภัณฑ์สบู่
[0]
ผลิตภัณฑ์ทำความสะอาด
[0]
ผลิตภัณฑ์ดูแลช่องปาก
[21]
แปรงสีฟัน
[13]
ยาสีฟัน
[5]
ผลิตภัณฑ์รักษาสิ่งแวดล้อม
[2]
ผลิตภัณฑ์สินค้าราคาส่ง
[0]
ผลิตภัณฑ์ในห้างสรรพสินค้าชั้นนำ
[0]
ชุดของขวัญ ปาล์มเมด
[0]
กล่องของขวัญสำเร็จรูป
[0]
NEW AVAILABLE
ดูสินค้ามาใหม่ทั้งหมด
MEMBER
คุณเป็นตัวแทนจำหน่าย
ระดับ{{userdata.dropship_level_name}}
ไปหน้าหลักตัวแทน
ระดับสมาชิกของคุณ ที่ร้านค้านี้
รายการสั่งซื้อของฉัน
ทั้งหมด {{(order_nums && order_nums.all)?'('+order_nums.all+')':''}}
รอการชำระเงิน {{(order_nums && order_nums.wait_payment)?'('+order_nums.wait_payment+')':''}}
รอตรวจสอบยอดเงิน {{(order_nums && order_nums.wait_payment_verify)?'('+order_nums.wait_payment_verify+')':''}}
รอจัดส่งสินค้า {{(order_nums && order_nums.wait_send)?'('+order_nums.wait_send+')':''}}
รอยืนยันได้รับสินค้า {{(order_nums && (order_nums.wait_receive || order_nums.wait_confirm))?'('+(order_nums.wait_receive+order_nums.wait_confirm)+')':''}}
รอตรวจสอบข้อร้องเรียน {{(order_nums && order_nums.dispute)?'('+order_nums.dispute+')':''}}
เรียบร้อยแล้ว {{(order_nums && order_nums.completed)?'('+order_nums.completed+')':''}}
ทั้งหมด {{(order_nums && order_nums.all)?'('+order_nums.all+')':''}}
รอการชำระเงิน {{(order_nums && order_nums.wait_payment)?'('+order_nums.wait_payment+')':''}}
รอตรวจสอบยอดเงิน{{(order_nums && order_nums.wait_payment_verify)?'('+order_nums.wait_payment_verify+')':''}}
รอจัดส่งสินค้า {{(order_nums && order_nums.wait_send)?'('+order_nums.wait_send+')':''}}
ส่งสินค้าเรียบร้อยแล้ว {{(order_nums && order_nums.sent)?'('+order_nums.sent+')':''}}
logout
เข้าสู่ระบบด้วย
เข้าสู่ระบบ
สมัครสมาชิก
ยังไม่มีบัญชีเทพ
สร้างบัญชีใหม่
ไม่มีค่าใช้จ่าย
สมัครสมาชิก (ฟรี)
OVERVIEW
หน้าที่เข้าชม
1,691,930 ครั้ง
ผู้ชมทั้งหมด
1,542,100 ครั้ง
เปิดร้าน
25 ก.ย. 2562
ร้านค้าอัพเดท
4 พ.ย. 2568
CONTACT US
0650565495
manager@palmmade.com
facebook.com/palmmadethailand/
@palmmade.official
@palmmade
Palmmade
ตรวจสอบพัสดุ
PARTNER
LnwShop
Palmmade
บันทึกเป็นร้านโปรด
Join เป็นสมาชิกร้าน
124 คนเป็นสมาชิกร้านนี้
คุณมีสินค้า
0
ชิ้นในตะกร้า
สั่งซื้อทันที
สินค้าในตะกร้า ({{total_num}} รายการ)
ขออภัย ขณะนี้ยังไม่มีสินค้าในตะกร้า
ราคาสินค้าทั้งหมด
฿ {{price_format(total_price)}}
- ฿ {{price_format(discount.price)}}
ราคาสินค้าทั้งหมด
{{total_quantity}} ชิ้น
฿ {{price_format(after_product_price)}}
ราคาไม่รวมค่าจัดส่ง
รวมภาษีมูลค่าเพิ่มแล้ว
ดูสินค้าในตะกร้า
เริ่มการสั่งซื้อ
➜
เลือกซื้อสินค้าเพิ่ม
พูดคุย-สอบถาม
อีเมล manager@palmmade.com
โทร 0650565495
Palmmade
palmmade.official
Facebook Messenger
Add @palmmade